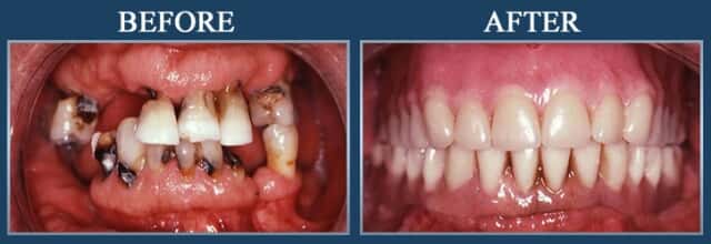
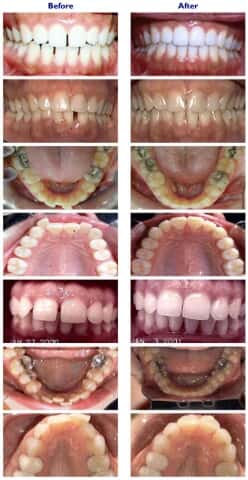
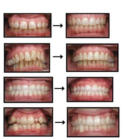
Smile Gallery
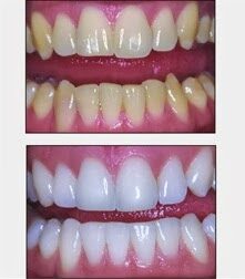
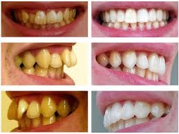
Bleaching





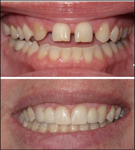
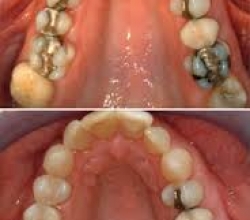
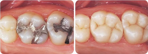
Bonding (White Filling)






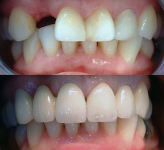
Bridge


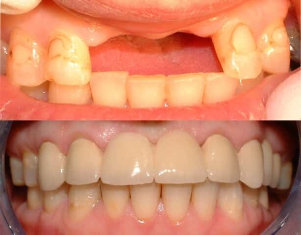
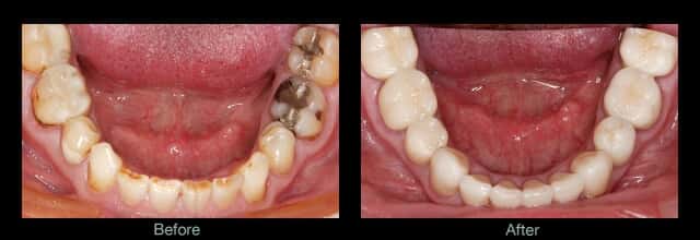
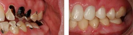
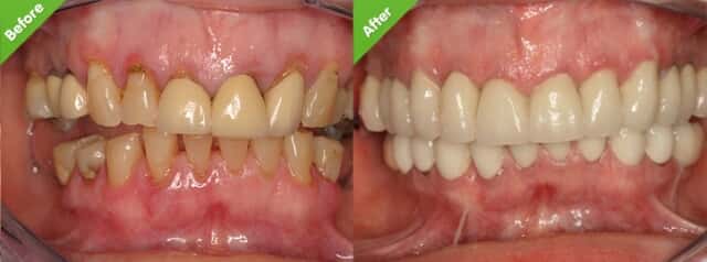
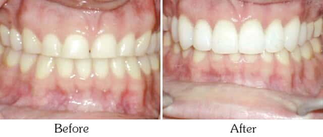
Crown











Denture

Gum Treatment

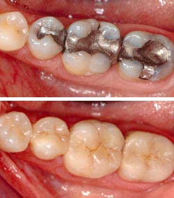
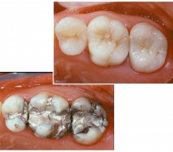
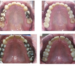
Inlays & Onlays







Invisalign







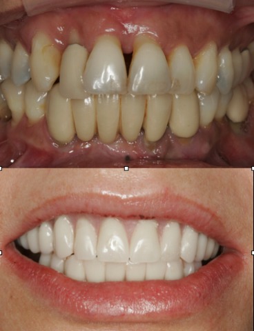
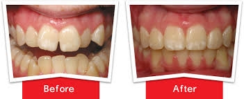
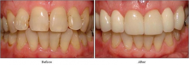
Veneers







Partials

Root Canals
